ATLAS OF DERMATOPATHOLOGY

TUMORS OF THE HAIR: Trichofolliculoma

Joshua A. Wisell, MD and Francisco G. La Rosa, MD

Department of Pathology, University of Colorado Anschutz Medical Campus

Click on Thumbnail to enlarge,

click on the back button to return

 

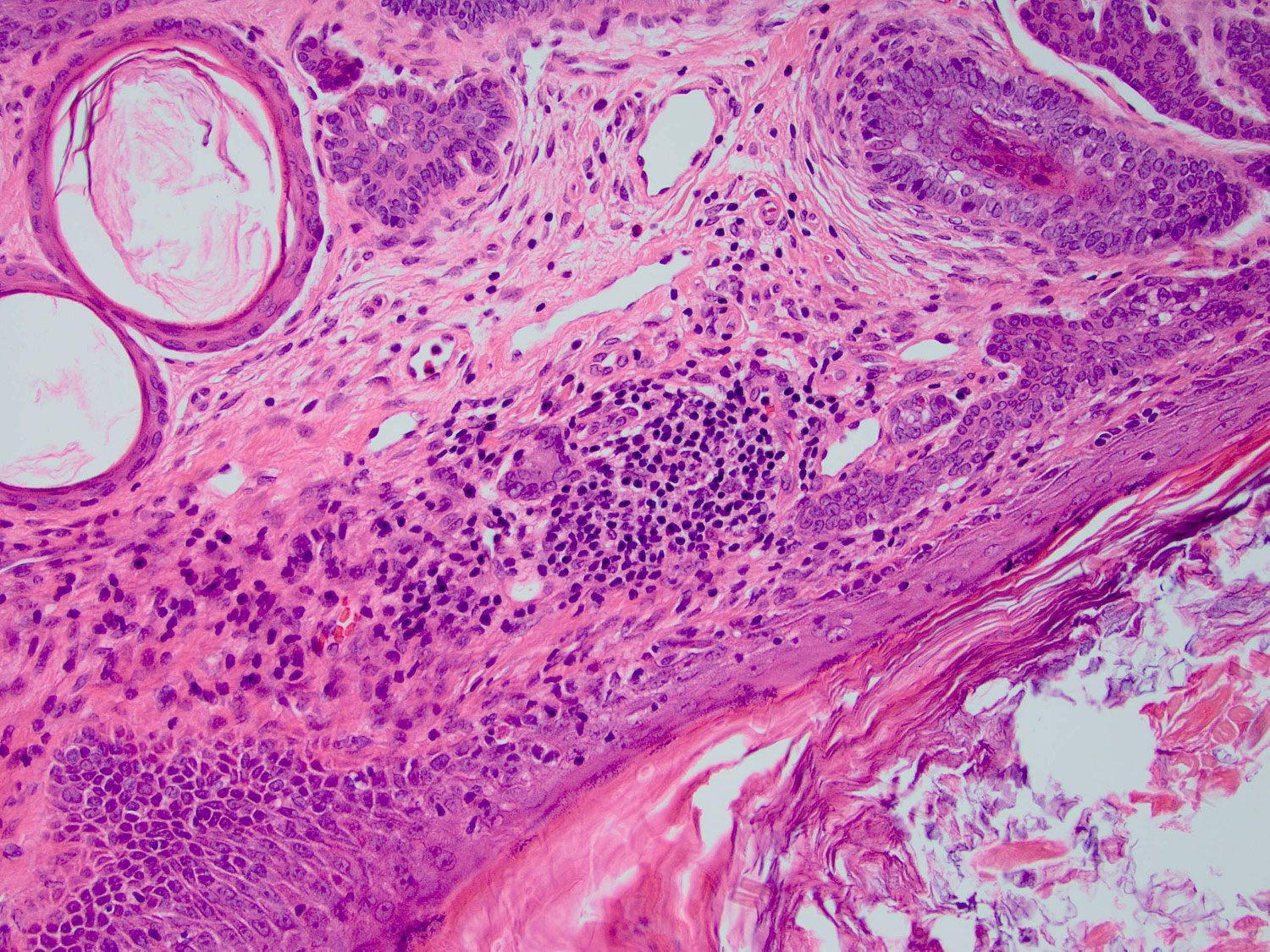
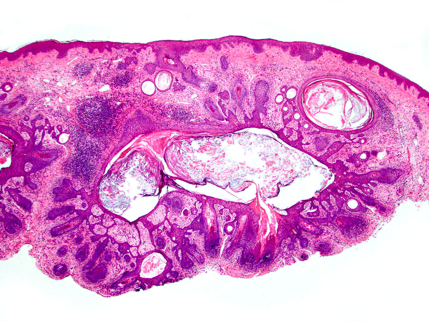
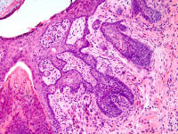
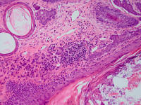
H&E staining (4x objective)

Granulomatous inflammation

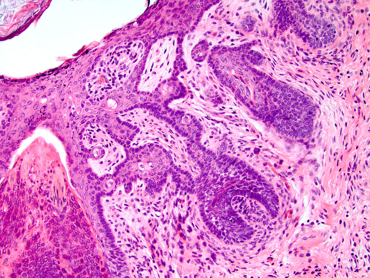
H&E staining (20x objective)

Papillary mesenchymal body

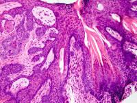
H&E staining (20x objective)

Secondary budding

H&E staining (20x objective)

 

 | Epidermis | Connective Tissue | Hair | Sebaceous Gl. | Sweat Gl. | Lymphoid | Miscellanea |

 

 | Atlas Home | Non Tumors of the Skin |Tumors of the Skin |

 

 

Copyright 2015- Webmaster