ATLAS OF DERMATOPATHOLOGY

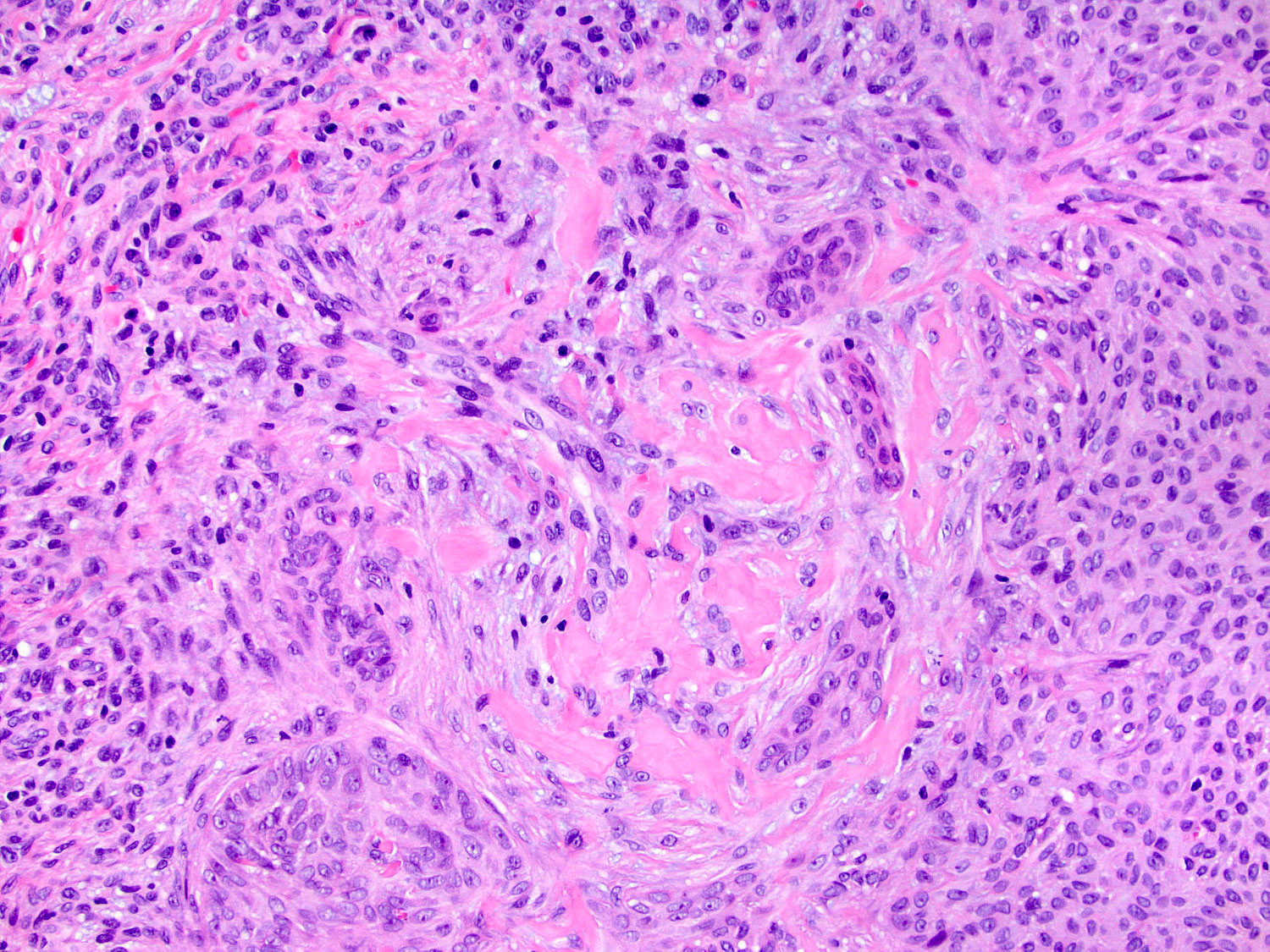
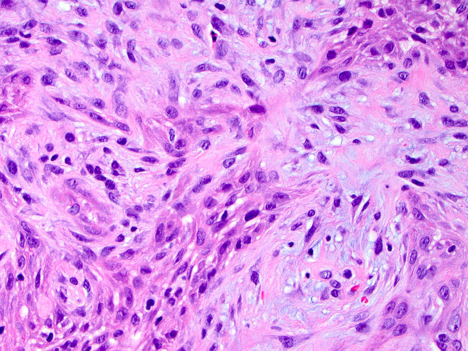
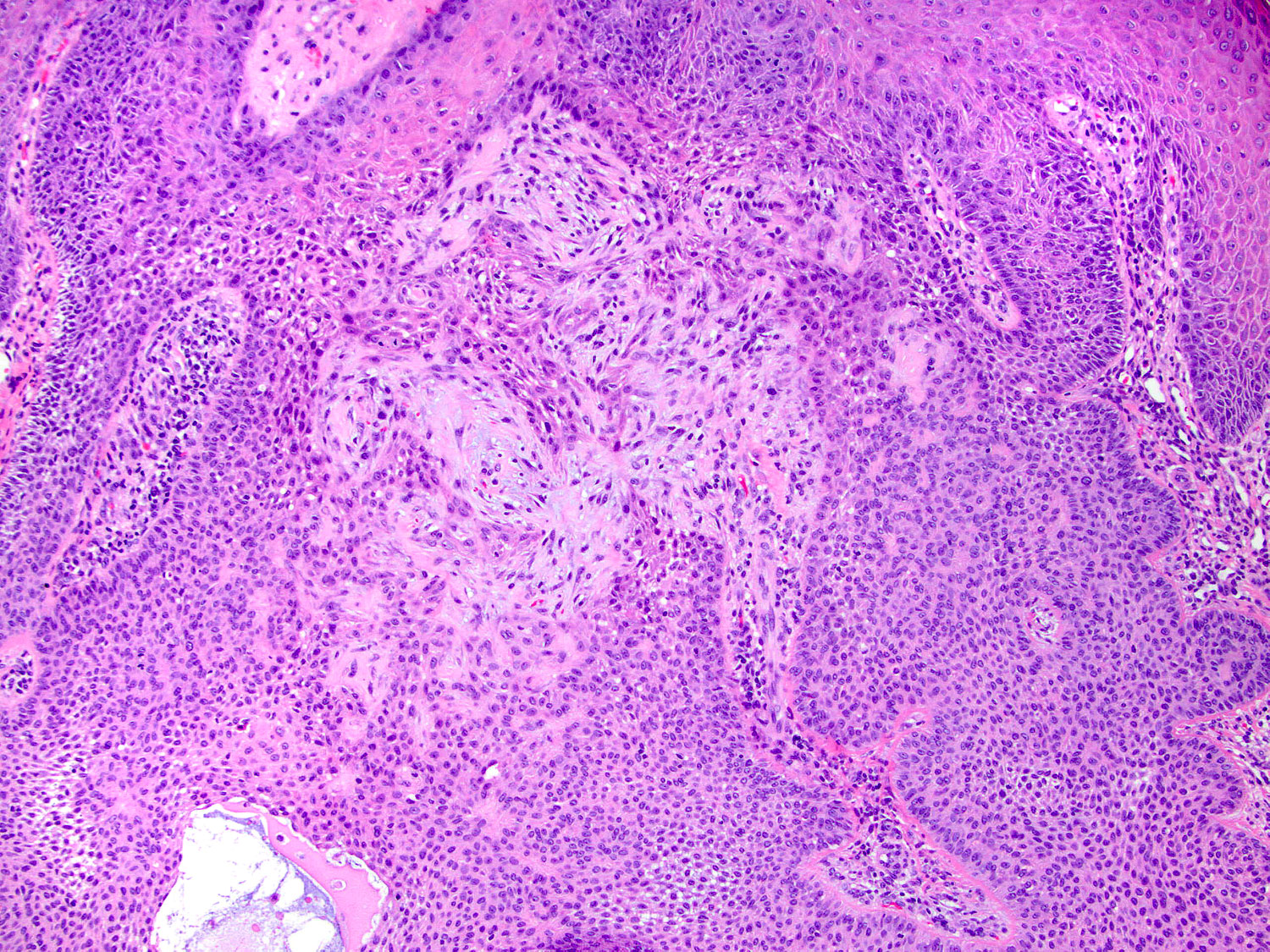
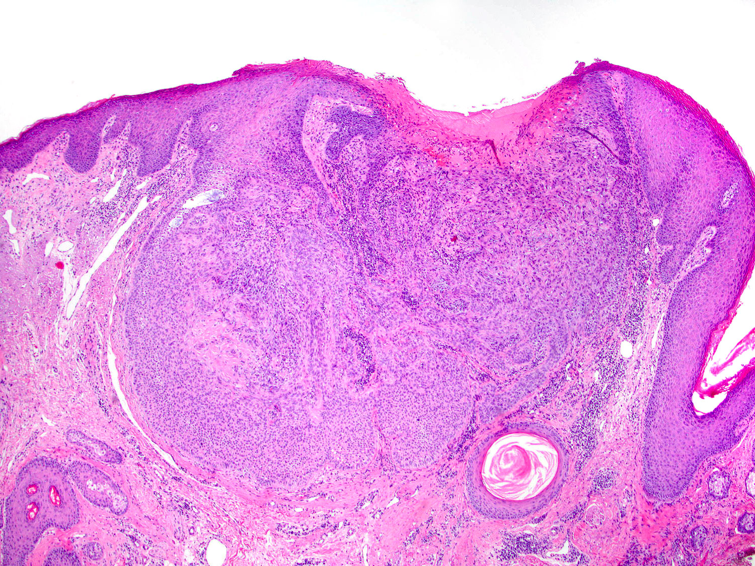
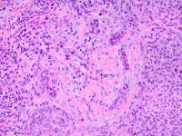
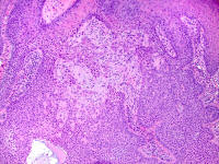
TUMORS OF THE HAIR: Desmoplastic Trichilemmoma

Joshua A. Wisell, MD and Francisco G. La Rosa, MD

Department of Pathology, University of Colorado Anschutz Medical Campus

Click on Thumbnail to enlarge,

click on the back button to return

 

H&E staining (4x objective)

H&E staining (10x objective)

H&E staining (20x objective)

H&E staining (40x objective)

 

 | Epidermis | Connective Tissue | Hair | Sebaceous Gl. | Sweat Gl. | Lymphoid | Miscellanea |

 

 | Atlas Home | Non Tumors of the Skin |Tumors of the Skin |

 

 

Copyright 2015- Webmaster