ATLAS OF DERMATOPATHOLOGY

TUMORS OF THE EPIDERMIS: Bowen's Disease

Joshua A. Wisell, MD and Francisco G. La Rosa, MD

Department of Pathology, University of Colorado Anschutz Medical Campus

Click on Thumbnail to enlarge,

click on the back button to return

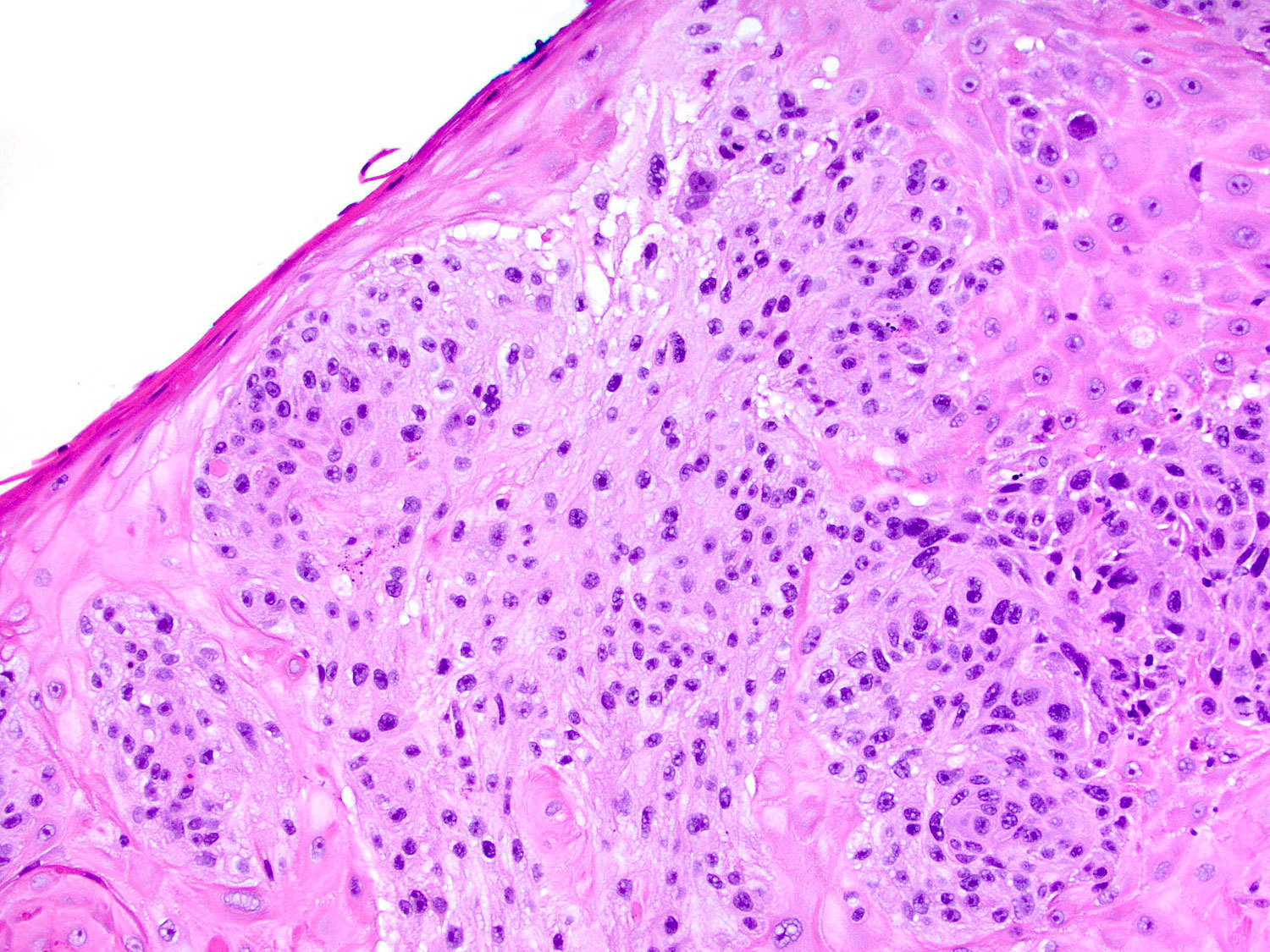
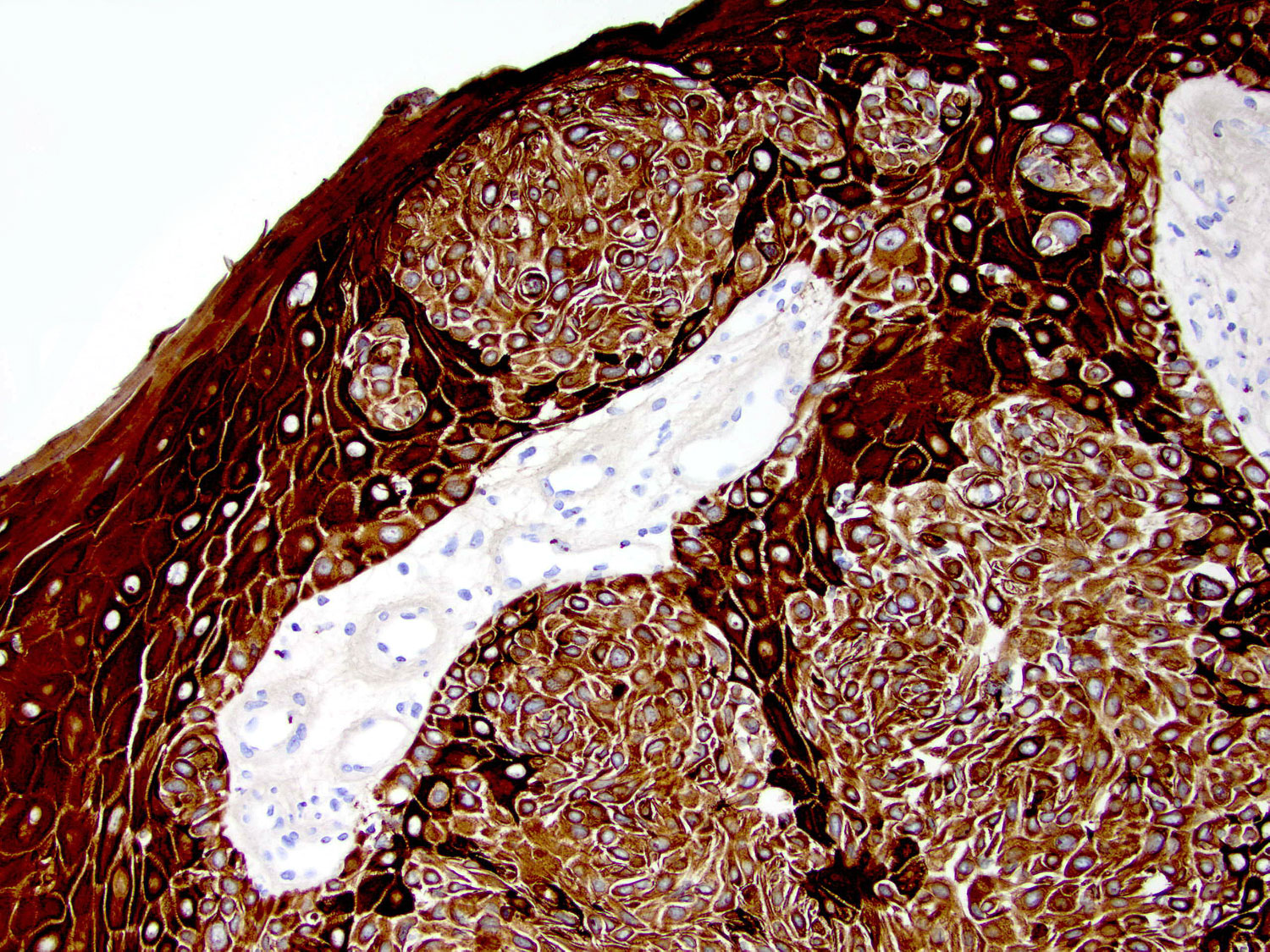
Bowen's disease (BD) (also known as "Squamous cell carcinoma in situ") is a neoplastic skin disease, considered either as an early stage or intraepidermal form of squamous cell carcinoma. It was named after Dr. John T. Bowen, who first described it in 1912.

H&E staining (4x objective)

H&E staining (20x objective)

Pan-cytokeratin (4x objective)

Pan-cytokeratin (20x objective)

 

 | Epidermis | Connective Tissue | Hair | Sebaceous Gl. | Sweat Gl. | Lymphoid | Miscellanea |

 

 | Atlas Home | Non Tumors of the Skin |Tumors of the Skin |

 

 

Copyright 2015- Webmaster